10/04/2025 Notícia

El CREAF organitza amb el projecte SoilNet una formació pionera sobre mostreig de sòls i biodiversitat edàfica

Tècnic/a de comunicació

Alba Gimbert Àlvarez

Científica renaixentista i eterna aprenent, amb set insaciable d'explorar els apassionants mons de la comunicació, l'educació i la divulgació del patrimoni natural.

Sembla mentida, però el sòl que trepitgem cada dia és un autèntic cofre del tresor: allotja un gran ecosistema que ajuda a regular el clima, emmagatzema carboni, ens proveeix aliments i manté la vida tal com la coneixem. Tot i així, encara en sabem molt poc! Amb la voluntat de revertir aquesta situació, el CREAF ha acollit un curs intensiu de formació sobre mostreig de sòls i inventari de biodiversitat, organitzat pel grup de recerca PROTECSOL dins del projecte estatal SoilNet, que busca crear una xarxa estatal de professionals experts en sòls. Aquest esdeveniment pioner ha tingut lloc al campus de la Universitat Autònoma de Barcelona (UAB) i ha comptat amb la participació de professionals destacats en l’àmbit de l’ecologia del sòl de tota Espanya.

De la teoria, al bosc i al laboratori

Els participants han viscut tres dies intensos de sessions teòriques i pràctiques, tant al camp com al laboratori. El primer dia es va fer un webinar, obert a tothom, va atreure un total de 260 persones, cosa que referma que la ciència del sòl desperta un gran interès. Experts com Agustín Rubio (UPM), Ana Rincón (ICA-CSIC), Marta Goberna (INIA-CSIC) i María Jesús Iglesias Briones (Universidad de Vigo) van compartir els seus coneixements sobre caracterització fisicoquímica del sòl, microbiota i fauna edàfica, així com la seva importància ecològica.

projecte soilnet

Segon dia de formació al laboratori per conèixer la caracterització genètica i funcional de la biodiversitat del sòl. Imatge: Xavier Domene.

Les sessions pràctiques van comptar amb estudiants predoctorals i tècnics dels centres de recerca de la xarxa de SoilNet. Es van realitzar a un alzinar del campus UAB i als laboratoris de la universitat, amb la participació de Xavier Domene i Sara Marañon, investigadors del CREAF, i investigadors de la resta de centres de la xarxa, com a formadors. 

En els dos dies de sessions pràctiques posteriors, els participants van dur a terme pràctiques al camp i al laboratori per aprendre tècniques de descripció de perfils edàfics, mostreig de biodiversitat (microbiota, microfauna, mesofauna, macrofauna), i mètodes d’extracció, conservació i identificació tant morfològica com molecular. La formació va culminar amb sessions de laboratori centrades en la caracterització genètica i funcional de la biodiversitat del sòl, amb l’objectiu de reforçar les capacitats tècniques dels futurs experts en ecologia edàfica.

Xavier Domene CREAF

La riquesa del curs ha estat precisament la seva varietat metodològica. S’han compartit en directe tècniques de mostreig i de camp de tots els grups implicats. No és gens habitual poder gaudir a un curs així de complet i integral.

Matias_pons_creaf

El curs de mostreig i biodiversitat en sòls ha representat una oportunitat valuosa per conèixer línies d'investigació diverses dins del mateix camp d'estudi, i també per aprendre noves tècniques que ens ajudaran a la millora de les pràctiques futures. Ha estat especialment enriquidor participar en els debats generats entre experts de diferents àmbits

tardígrad Soilnet

Observació a microscopi d'un tardígrad trobat a les mostres de sòl. Imatge: Xavier Domene

Arrel amb nòduls de lleguminoses Soilnet

Observació amb lupa binocular d'una arrel amb nòduls de lleguminoses. Imatge: Xavier Domene

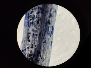
Teixit d'una arrel amb presència d'endomicorrizes

Observació a microscopi del teixit d'una arrel amb presència d'endomicorrizes (relació simbiòtica entre les arrels de la planta i un fong). Imatge: Xavier Domene

Formació en xarxa per als sòls del futur

Aquesta iniciativa està promoguda pel projecte SoilNet, finançat pel Ministerio de Ciencia e Innovación, amb l’objectiu de generar recerca i crear una xarxa estatal que connecti professionals de la recerca i institucions dedicades a l'estudi del sòl. Actualment, SoilNet inclou nou institucions de diferents regions d’Espanya: Catalunya, Galícia, Canàries, Andalusia, País Basc, Aragó i Madrid. Treballar en xarxa permet abordar problemes complexos amb més profunditat i generar noves sinergies entre experts.

Xavier Domene CREAF

No hi ha massa experts en biologia dels sòls a nivell estatal, però alguns dels més rellevants hi són a la xarxa. És una oportunitat única pels alumnes, que han pogut formar-se i crear un primer vincle entre ells, com a futurs investigadors, en consonància amb l’objectiu principal d’aquest tipus de projectes

L’èxit d’aquest primer curs ha deixat clar que aquest model funciona, i el CREAF, situat en un campus que combina laboratoris, espais naturals experimentals i zones de treball compartit, ha estat un escenari ideal per dur a terme aquesta prova pilot. Ara, l’objectiu és consolidar aquest model i repetir la formació en els propers anys.